En consecuencia, y si bien la prevención de estos trastornos resulta en la actualidad imposible, no se pueden adoptar medidas e intervenciones precoces que atenúen su evolución. Sin embargo, esta situación podría cambiar en el futuro inmediato. Y es que un estudio dirigido por investigadores de la Universidad de California en Davis (EE.UU.) parece haber identificado un biomarcador que podría predecir si un bebé acabará padeciendo autismo ya a la temprana edad de seis meses.
Como explica David Amaral, co-director de esta investigación publicada en la revista «Biological Psychiatry», «por lo general, el autismo es diagnosticado cuando el niño ya cuenta con dos o tres años de edad y empieza a mostrar los síntomas del comportamiento típicos del trastorno. Y es que aún a día de hoy no contamos con un ningún biomarcador precoz. Sin embargo, nuestro trabajo muestra que hay una alteración en el líquido cefalorraquídeo que puede ser detectado en las pruebas de imgaen por resonancia magnética a una edad tan temprana como los seis meses, lo que supone un hallazgo muy importante».
Drenaje insuficiente
Producido por el cerebro, el líquido cefalorraquídeo tiene la función de absorber los golpes, evitando así que el cerebro impacte con el cráneo. Sin embargo, parece que las funciones del líquido cefalorraquídeo van mucho más allá de su papel como amortiguador cerebral. De hecho, algunos estudios recientes han mostrado cómo este líquido juega un papel en el control de la migración neuronal y de otros mecanismos asociados al desarrollo cerebral, caso de la eliminación de las moléculas ‘dañinas’.
Como refiere Mark Shen, co-autor de la investigación, «el líquido cefalorraquídeo actúa como el sistema de filtración cerebral. Según circula por el cerebro, este líquido va ‘limpiando’ partículas que, de otra manera, acabarían agregándose. Creemos que el líquido cefalorraquídeo en el espacio extraaxial es un signo de que este líquido no está filtrando y drenando lo que debería. El resultado es que podría tener lugar una neuroinflamación que no ha sido eliminada».
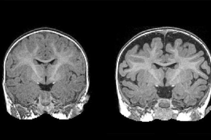
Así, el nuevo estudio tuvo por objetivo evaluar la posible asociación entre el líquido cefalorraquídeo podría servir como biomarcador de un incremento del riesgo de desarrollo de TEA. Y para ello, los autores realizaron pruebas de resonancia magnética a 343 bebés cuando contaban una edad de seis, 12 y 24 meses. Hasta 221 de los bebés contaban con hermanos mayores diagnosticados de TEA, o lo que es lo mismo, tenían un riesgo elevado de autismo. No así los 122 restantes, cuyas familias no tenían ningún miembro diagnosticado del trastorno.
Los resultados mostraron que, comparados con aquellos que no llegaron a padecer el trastorno, los bebés que acabaron desarrollando un TEA tenían una cantidad de líquido cefalorraquídeo significativamente mayor en el espacio subaracnoideo a la edad de seis meses. De hecho, y por lo que respecta a los bebés que fueron ulteriormente diagnosticados del trastorno, la cantidad de líquido en este espacio cercano al perímetro del cerebro fue hasta un 18% mayor. Tal es así que la detección de este mayor contenido de líquido cefalorraquídeo es capaz de predecir qué niños acabarán desarrollando autismo con una precisión del 70%.
Es más; como apunta Mark Shen, «cuanto mayor fue la cantidad de líquido cefalorraquídeo en el espacio extraaxial a los seis meses, más severos fueron los síntomas del TEA cuando el niño fue diagnosticado de autismo a los 24 meses de edad».
La cantidad importa
Entonces, este exceso de líquido cefalorraquídeo en el espacio subaracnoideo –o ‘extraaxial’–, ¿está implicado en el desarrollo del autismo? Pues la verdad es que, como reconocen los propios autores, aún no se sabe. Y es que si bien puede ser que, efectivamente, contribuya a la aparición o la progresión del trastorno, también es posible que no sea más que un efecto colateral de un verdadero –y mucho más sutil– desencadenante.
Además, como apuntan los investigadores, el biomarcador no es lo suficientemente ‘sensible’ como para asegurar con certeza qué bebés acabarán desarrollando un TEA. Sea como fuere, la asociación entre una mayor cantidad de líquido cefalorraquídeo y el autismo puede tener un impacto clínico significativo.
Como concluye David Amaral, «antes de que publicáramos nuestro trabajo previo en 2013, los radiólogos solían referirse a este exceso como ‘líquido extraaxial benigno’, lo que quería decir que no tenía ningún significado clínico. Pero nuestras evidencias deben alertar a los radiólogos y neurólogos de las posibles consecuencias de un incremento del líquido cefalorraquídeo subaracnoideo».
18 genes asociados al TEA
Un trabajo del programa 'Autism Speaks MSSNG' ha identificado 18 nuevas variaciones génicas que parecen aumentar el riesgo de autismo. El informe hsa analizadode 5.205 genomas enteros de familias con trastorno por espectro autista, lo que le convierte en el estudio más grande sobre esta trastorno hasta la fecha. El estudio se publica en «Nature Neuroscience»
«Todavía hoy día estamos descubriendo nuevos genes del autismo después de una década de intenso trabajo», explica Mathew Pletcher, de Autism Speaks. «Con cada nuevo descubrimiento de nuevos genes damos un paso para explicar más casos de autismo, cada uno con su propio conjunto de efectos de comportamiento y muchos con problemas médicos asociados». Los hallazgos también servirán para personalizar los tratamientos más eficaces al entender estas vías comunes del cerebro y cómo las diferentes variaciones genéticas las alteran.
A través de su plataforma de investigación en Google Cloud, Autism Speaks está poniendo todos los genomas completamente secuenciados de MSSNG directamente a disposición de los investigadores de forma gratuita, junto con herramientas analíticas. En las próximas semanas, el equipo cargará otros 2.000 genomas de autismo completamente secuenciados más, con un total de más de 7.000. Actualmente, más de 90 investigadores de 40 instituciones académicas y médicas están utilizando la base de datos MSSNG para investigar el autismo en todo el mundo.


